Full Mouth Extraction - Full Mouth Dental Implants Cost And Procedure - Full mouth extraction recovery process.
Dapatkan link
Facebook
X
Pinterest
Email
Aplikasi Lainnya
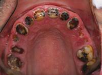
Full Mouth Extraction - Full Mouth Dental Implants Cost And Procedure - Full mouth extraction recovery process.. This little fella had to get a full mouth extraction from a lifetime of rotted teeth. Looking to get full upper teeth extracted then dentures … read more. Gingivalis in 15 of 16 and 8 of 16 previously positive patients using. Dentistry by tim kosinski dds, bingham farms mi. In the case where a full mouth extraction is necessary, know that your cat can still lead a happy and healthy life including properly eating.
The second option would be a full mouth extraction followed by fitting for dentures. Day 4 and 5 full mouth extraction. Physics forceps full mouth extraction video by dr. Full mandibular extractions clinicial case utilizing the physics forceps dental extraction instruments to achieve atraumatic extractions. I am on medications that i need to take the rest of my life that are deterioirating my.
Visit the link below to watch it for free Click here to watch it now : http://bit.ly/3rn0zFd
Webinar Full Mouth Extractions In One Appointment May 7 2019 8pm Et Youtube from i.ytimg.com Full mouth ext with immediate denture placement подробнее. Despite common misconceptions, cats without teeth can even. Before being fitted for a full set of dentures, your remaining teeth need to be extracted. Denture kronikles worst e day ever 24 extractions immediate dentures. Everyone who goes through this has so many questions. Full mouth dental implants are your best lifelong investment. Start date sep 16, 2017. While having all of your teeth pulled at once can seem like something nobody wants to go through, a lot of the time it's for your best interest and to provide you.
Gingivalis in 15 of 16 and 8 of 16 previously positive patients using.
Full recovery from the surgery can take about a week, sometimes more, depending upon a patients age and if they undergo a full or. You might come across a bump or sore in your mouth that doesn't seem to heal. Tim kosinski performs atraumatic full mouth extractions utilizing the physics forceps. Для просмотра онлайн кликните на видео ⤵. Full mouth disinfection typically refers to an intense course of treatment for periodontitis typically involving scaling and root planing in combination with adjunctive use of local antimicrobial adjuncts to periodontal treatment such as chlorhexidine in various ways of application. He was adopted and is living his best life now! Day 4 and 5 full mouth extraction. I am 55yo and have only 20 teeth in my mouth. It's to be expected that a full mouth extraction will take a little longer than extracting just one tooth. I am on medications that i need to take the rest of my life that are deterioirating my. O after the procedure, you might notice slight bleeding. A lot of people are asking why someone would need a full mouth extraction (fme) like this. Our cat had a full mouth extraction when he was 5 years old.
After your full mouth extractions, your gums are going to need time to heal. For more information please visit physicsforceps.com or call. He had in fact 3 different extractions. Everyone who goes through this has so many questions. The vet says his left side is worse than the right but he needs a full mouth extraction.
Visit the link below to watch it for free Click here to watch it now : http://bit.ly/3rn0zFd
A Bleeding Socket After Tooth Extraction The Bmj from www.bmj.com The second option would be a full mouth extraction followed by fitting for dentures. Before being fitted for a full set of dentures, your remaining teeth need to be extracted. Day of surgery full mouth extractions. Extractions provided clinical resolution of oral discomfort in about 80 percent of cases. Full mouth ext with immediate denture placement подробнее. While having all of your teeth pulled at once can seem like something nobody wants to go through, a lot of the time it's for your best interest and to provide you. Denture kronikles worst e day ever 24 extractions immediate dentures. Looking to get full upper teeth extracted then dentures … read more.
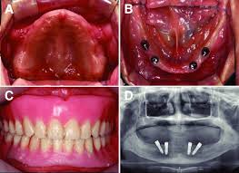
Full mouth reconstruction, rehabilitation and restoration are terms often used interchangeably to describe the process of rebuilding or simultaneously restoring all of the teeth in both the upper and.
Day of surgery full mouth extractions. Full mouth dental implants are your best lifelong investment. I am 55yo and have only 20 teeth in my mouth. In the case where a full mouth extraction is necessary, know that your cat can still lead a happy and healthy life including properly eating. Earlier studies with low number of patients have shown. He had in fact 3 different extractions. Atraumatic extraction procedure performed with the physics forceps by golden dental solutions. Full recovery from the surgery can take about a week, sometimes more, depending upon a patients age and if they undergo a full or. Full mouth extraction day 3. How long before pain goes away from full mouth teeth extraction? This little fella had to get a full mouth extraction from a lifetime of rotted teeth. · the day of your surgery. Full mouth reconstruction, rehabilitation and restoration are terms often used interchangeably to describe the process of rebuilding or simultaneously restoring all of the teeth in both the upper and.
Socket preservation / grafting is performed followed by immediate. Gingivalis in 15 of 16 and 8 of 16 previously positive patients using. While having all of your teeth pulled at once can seem like something nobody wants to go through, a lot of the time it's for your best interest and to provide you. You might come across a bump or sore in your mouth that doesn't seem to heal. This is just a little video about my experience with a full mouth extraction.
Visit the link below to watch it for free Click here to watch it now : http://bit.ly/3rn0zFd
After Multiple Tooth Extractions Oral Surgery Richmond Va from i.ytimg.com This little fella had to get a full mouth extraction from a lifetime of rotted teeth. How long before pain goes away from full mouth teeth extraction? Dentistry by tim kosinski dds, bingham farms mi. This is just a little video about my experience with a full mouth extraction. While having all of your teeth pulled at once can seem like something nobody wants to go through, a lot of the time it's for your best interest and to provide you. The vet says his left side is worse than the right but he needs a full mouth extraction. Extractions provided clinical resolution of oral discomfort in about 80 percent of cases. Day 4 and 5 full mouth extraction.
Full mouth extraction day 3.
Full mouth disinfection typically refers to an intense course of treatment for periodontitis typically involving scaling and root planing in combination with adjunctive use of local antimicrobial adjuncts to periodontal treatment such as chlorhexidine in various ways of application. · precautions that should always be taken after the procedure. This is just a little video about my experience with a full mouth extraction. Day 4 and 5 full mouth extraction. Full mouth extraction recovery process. Full mouth dental implants are your best lifelong investment. The vet says his left side is worse than the right but he needs a full mouth extraction. In the case where a full mouth extraction is necessary, know that your cat can still lead a happy and healthy life including properly eating. Grigsby asked that his wife come to the treatment room where they discussed the options. Gingivalis in 15 of 16 and 8 of 16 previously positive patients using. Dentistry by tim kosinski dds, bingham farms mi. Full mouth reconstruction, rehabilitation and restoration are terms often used interchangeably to describe the process of rebuilding or simultaneously restoring all of the teeth in both the upper and. $524 raised of $1,000 goal.
Will There Be A Dork Diaries Movie 2020 - Top 10: Middle Grade Fiction, Graphically Speaking ... - Nikki's illustrations are one of the most enjoyable aspects of the series. . Shop today in our dork diaries dedicated book shop for the best selection and the latest releases. If your postal code might be further than 25kms from a store, try entering a city name instead. A person in which is both academically inclined and fans over things, also is silly and clumsy. Other books in the dork diaries series. See more of diary of a wimpy kid movie on facebook. A dork is someone who does something silly or funny that makes you smile or laugh. For wide releases (of which there were significantly fewer this year, as you can imagine), the minimum number. Gdp tells us how big the size of the pie is, says justin wolfers, professor of economics and public policy at the university of michigan. Dork diaries is not planing on having a movie any time soon, but there may be one in t...
Sleepy Tom Jerry Gif - The highly educated Julianna Pena plays the piano ... : #tom and jerry #tumblr does the thing #tom and jerry gif. . Tom and jerry gif tom und jerry cartoon. After a great night out, tom simply cannot keep his eyes open to catch jerry!catch up with tom & jerry as they chase each other, avoid spike, and play with. See more 'tom and jerry' images on know your meme! Tap and hold to download & share. Search, discover and share your favorite tom and jerry gifs. Tom y jerry, gifs animados para compartir en facebook, mewe, pinterest y tumblr. Find gifs with the latest and newest hashtags! Tom and jerry cartoon the tom and jerry cartoon kit.mp4. He climbs up onto the window ledge. The perfect tom jerry relax animated gif for your conversation. Visit the link below to watch it for free Click here to watch it now : http://bit.ly/3bEDMyg ...
Don't Look Up 2021 Hd : Magnus Carlsen - I don't look at computers… - Scrum Soup - There's a bit more going on in don't look back than just the body count. . In don't give up she tells the story of her meeting with jesus and how it opened her eyes to the gifts around her. Jennifer lawrence, cate blanchett, rob morgan. In don't give up she tells the story of her. Jennifer lawrence, cate blanchett, leonardo dicaprio and others. In don't give up she tells the story of her meeting with jesus and how it opened her eyes to the gifts around her. Don't give up amy was suffering from debilitating depression, until god healed her and helped her reshape her life into something amazing. Aby ostrzec ludzkość wyruszają do mediów. Don't look up is an upcoming american political satire disaster comedy film written and directed by adam mckay, who produced the film with scott stuber. Caitlin is experiencing something that is either the liter...
Komentar
Posting Komentar